腰椎爆裂性骨折是一種非常嚴重的脊柱創傷性損傷,常由于交通事故、高空墜落等高能量暴力外傷導致;當骨折的椎體向后移位或骨片突入椎管時,會造成脊髓、硬膜囊、神經根(馬尾)損傷,輕微的癥狀會出現腰部疼痛及下肢功能受限,嚴重者會造成爆裂性骨折平面以下的肢體癱瘓。
不久前,我院創傷骨科收治了一位特殊的患者—周女士,該患者入院前約7小時在家不慎從樓上墜落,當即出現胸腰背部疼痛不適伴雙下肢感覺及活動能力喪失,家人急送至當地醫院就診,行攝片檢查提示:L1椎體前、中、后柱骨折,椎體后緣骨塊后移伴椎管狹窄,建議手術治療;患者及家屬為求進一步治療,聯系俞德亮副主任醫師遠程會診后轉入我院。
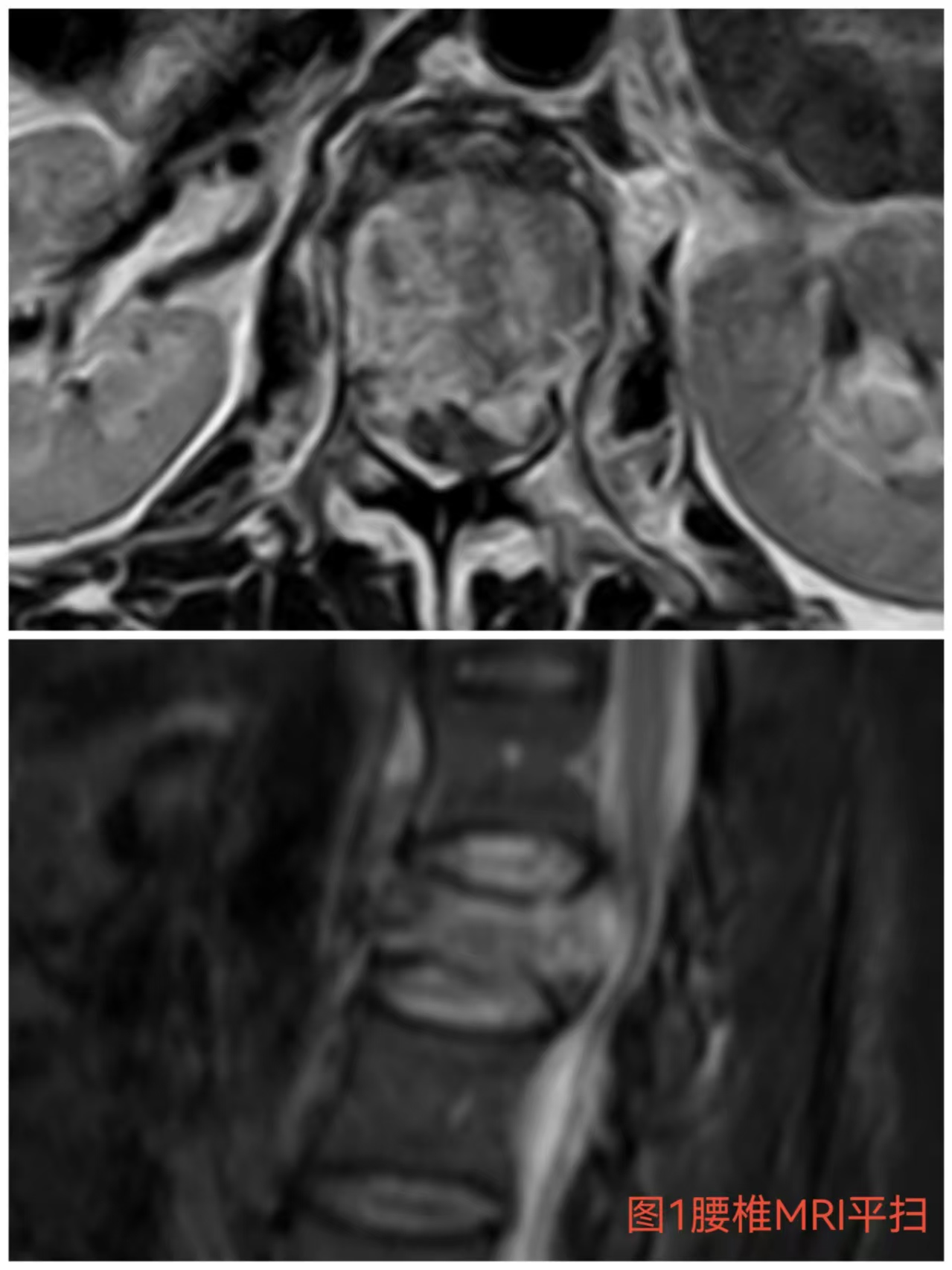
入院時患者躺在床上不能動彈,眼神中透漏著深深的無助,對于她來說這種傷情無疑是沉重的,尤其是腹股溝以下感覺消失、雙下肢肌力0級,這意味著其下肢無法活動及站立,仿佛被命運按下了暫停鍵;與病人及家屬充分溝通病情后,第一時間給予對癥治療,監測患者生命體征,行腰椎核磁檢查(圖1)提示:腰1椎體爆裂性骨折,椎體后緣塌陷致骨性椎管狹窄,壓迫脊髓神經,結合患者病情及輔助檢查可診斷為:“L1椎體爆裂性骨折伴雙下肢截癱”。


俞德亮副主任醫師深知病情的嚴重性,拖得時間越久,脊髓神經損傷癥狀越難以恢復,必須把握住早期減壓手術的關鍵時間窗,緊急帶領創傷骨科醫師團隊對該病情進行討論、制定手術方案,并成功為患者急診行“L1椎體爆裂性骨折伴截癱切開椎板切除+椎管探查減壓+骨折復位釘棒系統內固定術(圖2)”,該手術精確解除對脊髓神經的壓迫,并通過椎弓根螺釘內固定系統對受損的腰椎提供穩固的支撐,為后期的康復創造了良好的條件。

術后周女士雙下肢感覺及肌力有所恢復,雖然康復的道路還很漫長,但這次成功的手術和初步恢復帶來了希望,也讓她充滿了重新站起來、回歸正常生活的信心。
